Diagnóstico radiológico

Tuberculose primária

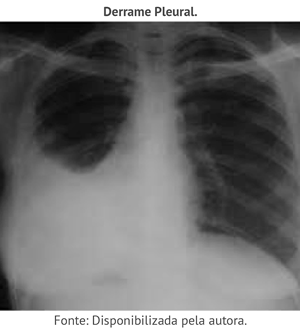
Clique nos números abaixo e observe as imagens radiológicas referentes a pneumonia TB, TB miliar e derrame pleural.

Conheça a TB secundária na página seguinte.